发布时间:2012-03-29 共1页
| 一、A1/A2型题:每一道考试题下面有A、B、C、D、E五个备选答案。请从中选择一个最佳答案。 |
1.组图是牙龈瘤患者,有关此病的描述不正确的是 ( )![]() ![]() ![]() ![]() |
| 正确答案:D |
|
|
2.组图为牙瘤的外观及X 线表现,有关此病的描述错误的是 ( )![]() ![]() |
| 正确答案:E |
|
|
| 3.口腔小涎腺不包括 ( ) |
| 正确答案:D |
|
|
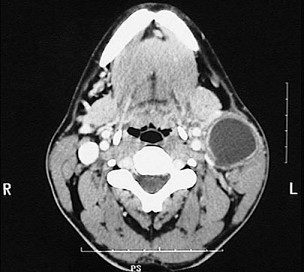
4.图示是鳃裂囊肿患者的CT 检查结果,关于此病的描述错误的是 ( )![]() |
| 正确答案:D |
|
|
| 5.临床上最多见的鳃裂囊肿来源于 ( ) |
| 正确答案:B |