2012年公卫执业医师资格考试疾病临床综合试题九

发布时间:2012-04-28 共1页

 八、精神、神经系统(A2型题)
一、A2型题:每一道考题是以一个小案例出现的,其下面都有A、B、C、D、E五个备选答案。请从中选择一个最佳答案。
1.患者,男性,35岁。近3个月来经常感到不明原因地紧张、害怕,思虑多,不能控制地胡思乱想,但想法是自己的。为此感到苦恼,主动就诊。患者存在的主要症状是





正确答案:A 解题思路:试题难度:难,此试题是综合应用题,考查考生对焦虑表现的理解、分析、判断能力。在题干病历中患者对其存在的症状感到痛苦,主动求治,说明患者的自知力完整。大脑内出现的不能自控的想法是自己的,而非他人的,也不是别人强加于患者的,可以排除强制思维的可能。尽管患者的想法是不能控制的,但并没有明显的抵抗,也就是说患者没有表现出明显的控制这些想法的愿望和动机,同时其脑内的想法变化不定,并不符合强迫观念的特点。虽然患者表现出紧张、害怕的情绪,但其紧张、害怕的情绪并没有客观对象,患者也没有明显的回避行为,不是恐惧的表现。惊恐发作往往是突然出现的紧张、害怕,呈发作性病程,而非持续性,该病历也不符合这一病程特点,可以排除惊恐发作的可能。该患者是没有明确客观对象的担心、紧张、害怕,脑内思虑多,飘忽不定,控制愿望不强烈,病程呈持续性,体现了广泛性焦虑的临床特点。故正确答案应为A。
 
2.患者,女性,26岁。近1个月来出现失眠,难以入睡。食欲较差,体重减轻2kg。自觉自己无能、没用、孤独、没有人关心自己,对未来也不抱任何希望,偶尔出现生不如死的想法。目前患者存在的突出症状是





正确答案:E 解题思路:试题难度:难,此试题是简单应用题,考查考生对抑郁发作核心症状的理解、记忆和分析应用能力。"三无症状"即无望、无助和无价值。无望是指患者对自己的现在和未来都感到没有信心、失望甚至是绝望;无助是指尽管周围的人都在给予关心和帮助,患者仍感到自己孤立无援;无价值是指患者感到自己的存在无论对自己、对家庭还是对社会都没有任何价值。"三自症状"即自责、自罪和自杀。自责是指患者过分地责备自己,夸大自己的错误和缺点;自罪是指患者毫无根据地认定自己有罪,甚至是罪大恶极,应该受到相应的惩罚;自杀是指患者主动采取以结束自己生命为目的的行动。题干提供病例显示,该年轻女性患者存在有睡眠障碍、食欲较差、体重减轻、孤独无助、对未来不抱有希望、无用和偶尔消极观念,而且症状持续存在有1个月,其可能的诊断是抑郁发作。抑郁发作的患者在备选答案中的症状都有可能出现。但在该问题中主要询问的是目前患者存在的突出症状。尽管患者有睡眠障碍但并不构成抑郁发作的核心症状,消极观念只是偶尔出现,思维迟缓对于抑郁发作患者可能出现,但病历中并未提及思维迟缓,也未提及明显的自罪和自杀,说明其思维迟缓并不突出,也没有明显的"三自"症状。患者目前突出表现为"三无"症状。答案是E。
 
3.患者,男性,60岁。晨睡醒后左侧肢体无力,刷牙时无法拿杯,有糖尿病和高血压病史无心脏病史,半天后急诊。查体:左侧肢体肌力3级,腱反射高于右侧,左侧Babinski征阳性。左侧肢体痛温觉减退。脑CT见图示:可能的诊断为





正确答案:D 解题思路:试题难度:中,本题考查目的是综合临床资料和CT图像作出脑血管的诊断。从上题的脑缺血性卒中与脑出血性卒中的鉴别要点表中很容易得出标准答案D脑血栓形成。短暂性脑缺血发作的体征一般1~2小时恢复,而且以单肢瘫等局限体征为多见。CT图像上一般没有梗死灶。脑栓塞一般在活动状态下,数秒钟即出现明显脑症状,大多数患者有房颤等栓塞灶的来源。这些均与本例不符合,故缺血后卒中以脑血栓形成为正确答案。
 
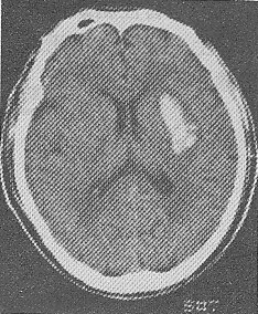
4.患者,男性,52岁。清晨锻炼时觉头痛,左侧肢体麻木和乏力,有高血压病史,半天后急诊。查体:嗜睡,右侧肢体肌力3级,腱反射高于左侧,右侧Babinski征阳性。脑CT见图示:可能诊断为





正确答案:B 解题思路:试题难度:中,本题考查目的是综合临床资料和CT图像作出脑血管病的诊断。本病例为急性起病的脑血管疾病。脑血管病分为缺血性卒中和出血性卒中。脑血栓形成、短暂脑缺血发作、脑栓塞均为缺血性卒中范畴;高血压性脑出血为出血性卒中;根据脑缺血性卒中和脑出血性卒中的鉴别诊断表(下表),可以得出B,高血压性脑出血为正确答案。脑转移癌起病较慢,而且CT的病灶周围有大片水肿,为迷惑答案。
 
5.男,55岁,走路不稳3年,检查发现表情淡漠,行走呈慌张步态,手指有细小节律性震颤,睡眠时消失。下列哪项阳性症状最可能在检查中发现





正确答案:A 解题思路:根据患者临床表现,首先考虑帕金森病。该病主要有4大表现:静止性震颤、齿轮样强直、少动和姿势平衡障碍。由于肌张力增高和少动,写字时出现小写症。虽然患者运动障碍明显,但是不会引起瘫痪。而折刀样强直是锥体束损害的表现。故本题选择答案为A。

百分百考试网 考试宝典

立即免费试用