发布时间:2012-03-26 共1页
| 一、A1型题:(最佳单项选择题)每一道考试题下面有A、B、C、D、E五个备选答案。请从中选择一个最佳答案。 |
| 1.急性鼻炎 ( ) |
| 正确答案:C |
|
|
| 2.慢性肥厚性鼻炎需切除肥厚的下鼻甲黏膜时,切除范围不应超过下鼻甲的 |
| 正确答案:B |
|
|
| 3.治疗下鼻甲骨肥大宜采用 ( ) |
| 正确答案:D |
|
|
| 4.慢性肥厚性鼻炎需切除肥厚的下鼻甲粘膜时,切除范围不应超过下鼻甲的 ( ) |
| 正确答案:B |
|
|
| 5.对鼻疖的治疗,下列措施中何者是错误的 ( ) |
| 正确答案:A |
|
|
| 二、B1型题:(标准配伍题)以下提供若干组考题,每组考题共用在考题前列出的A、B、C、D、E五个备选答案。请从中选择一个与问题关系最密切的答案。 |
| (6-10题共用备选答案) |
| A.鼻黏膜呈苍白色,明显水肿 B.黏膜肥厚,暗红色,表面不平,呈桑椹样,鼻甲骨大 C.黏膜肿胀,呈暗红色,表面光滑 D.鼻和鼻道内多脓涕,豆腐渣样物堆积,有恶臭 E.鼻黏膜干燥,鼻腔宽大,鼻甲缩小,有大量灰绿色脓痂,有恶臭 |
| 6.常年性变应性鼻炎鼻腔检查可见 | |
| 7.萎缩性鼻炎鼻腔检查可见 | |
| 8.干酪性鼻炎鼻腔检查可见 | |
| 9.慢性单纯性鼻炎鼻腔检查可见 | |
| 10.慢性肥厚性鼻炎鼻腔检查可见 |
| 正确答案:6.A,7.E,8.D,9.C,10.B |
|
|
| 三、X型题:(多选题)由一个题干和A、B、C、D、E五个备选答案组成,题干在前,选项在后。要求考生从五个备选答案中选出二个或二个以上的正确答案,多选、少选、错选均不得分。 |
| 11.慢性肥厚性鼻炎可引起 |
| 正确答案:AD 解题思路:鼻和耳之间通过咽鼓管相连。咽鼓管咽口位于鼻咽侧壁,距下鼻甲后端1~1.5cm。慢性肥厚性鼻炎引起鼻甲肥厚时常引起鼻塞,进而影响咽鼓管通气和引流而出现耳鸣和听力减退等耳部症状。 |
|
|
| 12.对萎缩性鼻炎的描述,正确的是 |
| 正确答案:CE 解题思路:萎缩性鼻炎是一种发展缓慢的鼻病,其特征为鼻黏膜萎缩,嗅觉减退或消失,鼻腔多量结痂形成,严重者鼻甲骨膜和骨质发生萎缩。本病患者以年轻女性居多。因本病的发生与营养因素较密切,故本病在发达国家少见,在发展中国家发病率较高。萎缩性鼻炎的病因有原发性和继发性之分。原发性病因目前仍不十分清楚。传统的观点认为,本病发生与内分泌紊乱、自主神经失调、营养不良(维生素A、B2、D、E缺乏,微量元素缺乏或不平衡)、遗传因素、血中胆固醇含量偏低、免疫功能紊乱等因素有关。细菌如臭鼻杆菌、类白喉杆菌等不是致病菌,是引起继发感染的病原菌。继发性萎缩性鼻炎病因明确,包括慢性鼻炎,慢性鼻旁窦炎脓性分泌物的长期刺激,高浓度有害粉尘、气体的长期刺激,多次或不适当鼻腔手术所致的鼻黏膜广泛损伤,特殊传染病如结核、梅毒和麻风对鼻黏膜的损害。 |
|
|
| 13.诊断药物性鼻炎主要依靠 |
| 正确答案:AB 解题思路:药物性鼻炎为患者因感冒、过敏等致鼻阻塞,用血管收缩剂滴鼻,开始感觉鼻通气效果明显,继续用药则感到效果不佳,再继续用药,则鼻塞加重,这称作多用减效现象。诊断本病主要根据鼻用药史,连续用药超过10d,并有多用减效现象。 |
|
|
| 14.慢性鼻炎的常见病因是 |
| 正确答案:BCDE 解题思路:慢性鼻炎是黏膜和黏膜下层的慢性炎症,无明确致病微生物感染,一般不是感染性疾病,即使发生感染,也是继发性的。 |
|
|
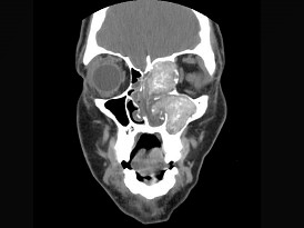
15.17岁男性,左侧上睑下垂,CT检查如图所示,请选择正确的描述或诊断 ( )![]() |
| 正确答案:ABCD |