2012年耳鼻咽喉科主治医师考试颈部科学考试试题7

发布时间:2012-03-26 共1页

 颈部创伤
一、A1型题:(最佳单项选择题)每一道考试题下面有A、B、C、D、E五个备选答案。请从中选择一个最佳答案。
1.患者,男,2d前车祸中碰伤胸部并被圆钝硬物挤伤左颈中上部,当时因胸部疼痛明显,不敢呼吸而就诊于胸外科,诊断为左第六~八肋骨骨折,无错位。经止痛及相应治疗后呼吸困难缓解。现患者声音嘶哑,饮水反呛,吞咽困难并右侧肢体无力。检查除胸部相应体征外,见左颈部皮肤淤血,颈动脉三角处有鸡蛋大血肿,左软腭松弛、咽反射消失,左声带固定于旁正中位,左侧Horner综合征,右上、下肢肌力3级。此例最准确的补充诊断是





正确答案:C 解题思路:颈动脉创伤性栓塞临床少见,多发生于颈内动脉,后果严重。其发病原因为:钝挫伤或牵拉力使动脉内膜及肌层损伤,胶原纤维暴露,血栓形成,血栓逐渐增大可阻塞管腔。外膜因富有弹性而保持完整,但局部损伤后,在血流冲击下,血管内膜可广泛剥离,形成动脉瘤。本病临床表现为颈动脉三角区血肿及颈部神经受压症状,累及的神经常包括迷走神经、舌咽神经、舌下神经、颈交感神经。伤后血管痉挛、血栓阻塞血管后,常出现脑供血不足症状。诊断除依据病史、症状、体征外,DSA是最为可靠的检查方法,可以准确地查出病变的位置、程度。因手术取出血栓的危险性极大,致死率极高,故主要采取保守治疗方法,包括休息、头部制动、溶栓、解痉等。
 
2.惟一能明确诊断气管闭合性损伤的体征是





正确答案:C 解题思路:气管闭合性损伤可出现很多症状,题中所列各项均包括在内,但只有气肿说明气管已出现裂伤,气体逸出,因而是气管损伤的重要体征。气肿可局限于颈部,也可能于短期内发展成包括胸部、头部在内的气肿甚至全身气肿,严重者可合并纵隔气肿及肺气肿。
 
3.能够区别气管闭合性损伤与咽、食管闭合性损伤的选项是





正确答案:E 解题思路:气管的闭合性损伤与咽、食管闭合性损伤在症状上很难区别,两者均可出现疼痛、咯血,咽、食管损伤重时可发生呕血。咽、食管损伤可伴喉不同程度的受累,黏膜水肿出现呼吸困难,但常较气管损伤出现的呼吸困难轻。同样,咽及食管损伤后,气体可逸入皮下及筋膜间隙而出现气肿。但两者的病史往往有较大区别,气管闭合性损伤多由钝性外力从正面或侧面撞击颈部引起,位置在颈段气管范围,而咽、食管的闭合性损伤多由进食过程中尖锐异物误伤或患者故意吞咽异物刺伤咽、食管黏膜致咽、食管周围炎引起。局部的一般检查尤其是纤维喉、气管、食管镜检查可确诊。
 
4.对咽、食管闭合性损伤的治疗,正确的是





正确答案:A 解题思路:咽、食管闭合性损伤临床少见,早期诊断较困难。一旦诊断,无论伤势轻重,均应立即积极行抗感染、早期修复损伤等治疗。首先必须绝对禁食,保持口腔及咽部清洁,吐出口腔分泌物,全身应用有效抗生素,经鼻饲或静脉维持营养。
 
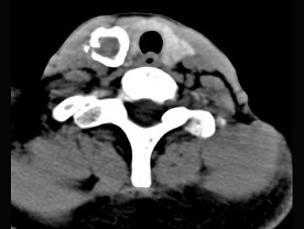
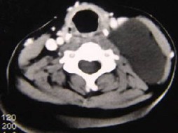
5.男性,40岁,颈部出现无痛性囊性包块2年余,CT扫描如图所示,最可能诊断为  (    )








正确答案:A
 
二、A3/A4型题:(病历组最佳选择题)以下提供若干个案例,每个案例下设若干道考题。请根据答案所提供的信息,在每一道考题下面的A、B、C、D、E五个备选答案中选择一个最佳答案。
(6-7题共用题干)
患者,女性,50岁,右侧颈中部偏下有一质硬肿块,随吞咽运动,间接喉镜下可见右侧声带麻痹,右侧颈中深、锁骨上触及数个肿大淋巴结。
6.患者应该诊断为  (    )




7.治疗应采取  (    )





正确答案:6.C;7.C
 
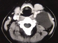
(8-10题共用题干)
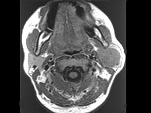
女性,30岁,右侧腮腺无痛性包块5个月,无面瘫,触诊肿块质韧,表面光滑。大小约6×8厘米,B超示腮腺浅叶实性肿块 ,均质,包膜完整。患者相片及影像资料见下图。
8.患者应该诊断为  (    )







9.患者的最佳手术方式是  (    )




10.手术中若以下颌缘支寻找面神经主干,其主要标志是  (    )





正确答案:8.B;9.B;10.A
 
三、B1型题:(标准配伍题)以下提供若干组考题,每组考题共用在考题前列出的A、B、C、D、E五个备选答案。请从中选择一个与问题关系最密切的答案。
(11-14题共用备选答案)
A.颈动脉三角
B.下颌角深处
C.锁骨上颈后三角区
D.胸锁乳突肌后缘中部
E.胸锁乳突肌后缘下部
11.起源于舌下神经的神经鞘膜瘤多在  (    )
12.起源于迷走神经的神经鞘膜瘤多在  (    )
13.起源于臂丛神经的神经鞘膜瘤多在  (    )
14.起源于颈丛神经的神经鞘膜瘤多在  (    )

正确答案:11.B,12.A,13.C,14.D
 
(15-16题共用备选答案)
A.间接损伤
B.直接损伤
C.血肿压迫
D.开放性损伤
15.颈部开放性神经损伤的原因是  (    )
16.颈部开放性血管损伤多由上面那个因素引起  (    )

正确答案:15.A,16.A
 
四、X型题:(多选题)由一个题干和A、B、C、D、E五个备选答案组成,题干在前,选项在后。要求考生从五个备选答案中选出二个或二个以上的正确答案,多选、少选、错选均不得分。
17.颈部开放性损伤可出现的症状包括





正确答案:ABCDE 解题思路:颈部开放性损伤是临床急症,病情常较严重,应特别重视。通常包括开放性血管、神经损伤,开放性气管损伤及开放性咽、食管损伤等。血管、神经损伤最常见的症状为出血,若伤及大血管则可发生致命性大出血。因颈动脉损伤常同时影响同侧脑的血液供应而出现昏迷、偏瘫等症状。血管损伤可引起假性血管瘤。神经损伤常发生于迷走、舌咽、舌下、颈交感神经,故可出现相应的神经损伤症状。此外,还可出现空气栓塞、气肿,气管裂伤后可见空气逸出、呼吸困难,但常因气道已开放,早期呼吸困难可较闭合性喉损伤轻,而后因血液流入气管及其黏膜肿胀,呼吸困难可加重。如果食管损伤可出现伤口食物逸出。题中C项为舌咽神经损伤的症状,D项为假性动脉瘤体征。根据病史、查体,颈开放性损伤的诊断较易。治疗原则为充分止血,抗休克,保持呼吸道通畅及抗感染。实施时常与抗休克同时予以止血,应用抗生素,开放气道,若非特别紧急,要行正规气管切开术,若情况特别紧急,则行经口或经气管创口的麻醉插管。在充分扩容,备血同时,立即行创口探察术,彻底止血,修复损伤的血管、神经、气管、食管等。
 
18.治疗气管闭合性损伤,正确的是





正确答案:BDE 解题思路:气管闭合性损伤的发生率较低,但后果较严重。可因钝力由侧面或正面撞击颈部引起气管异位,软骨骨折,黏膜撕裂甚至气管与环状软骨分离。气管闭合性损伤发生后,多有局部疼痛及放射性耳痛、呼吸困难、咳血痰、咯血,累及喉而出现声音嘶哑,气体从破裂的黏膜处逸出,潜行于皮下组织间隙而出现皮下气肿,其范围依损伤程度而不同,可以局限于颈部皮下,也可以达全身。气体进入纵隔则出现纵隔气肿。在以上症状中,只有气肿是惟一明确气管闭合性损伤的体征。治疗原则是保持呼吸道通畅,修复气管损伤,防止气管狭窄。损伤程度轻者可于抗生素激素治疗的同时密切观察病情变化,一旦出现呼吸困难,立即行低位气管切开术,即气管切开的位置与损伤的位置尽量远离,以利修复损伤,避免气管狭窄。
 
19.气管闭合性损伤可出现的临床表现包括





正确答案:ABCDE 解题思路:气管闭合性损伤常伤及喉或喉返神经而出现声音嘶哑甚至失声。气管损伤后,气体经裂口进入皮下组织而产生气肿。气管黏膜破裂后出血导致泡沫性血痰,如果出血量大则可大量咯血。气管损伤处的疼痛可放射至耳部。
 
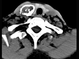
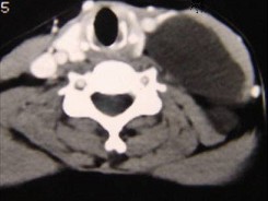
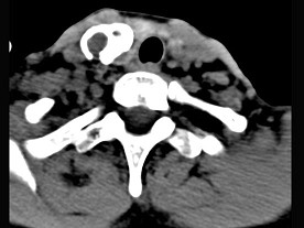
20.50岁女性患者,体检发现右侧甲状腺有较硬结节,CT扫描如图所示,请选择正确的描述和答案  (    )








正确答案:ABE
 
21.治疗颈部开放性损伤的方法包括





正确答案:BCDE

百分百考试网 考试宝典

立即免费试用