发布时间:2012-03-26 共1页
| 一、A1型题:(最佳单项选择题)每一道考试题下面有A、B、C、D、E五个备选答案。请从中选择一个最佳答案。 |
| 1.在正常生理情况下,腺样体何时发育最显著 |
| 正确答案:B 解题思路:腺样体出生后即存在,6~7岁时最显著,一般10岁以后逐渐退化萎缩。 |
|
|
| 2.患者,女,6岁,因鼻后部流脓,枕部持续性疼痛就诊。检查见鼻咽顶部中央圆形隆起,中线处可见一囊口,有脓液流出。首先应考虑是 |
| 正确答案:A 解题思路:腺样体位于鼻咽顶与后壁交界处,表面有5~6条纵形沟隙,居中的沟隙最深,在其下端有时可见胚胎期残余的凹陷,称咽囊。 |
|
|
| 3.“腺样体面容”描述错误的是 ( ) |
| 正确答案:D 解题思路:"腺样体面容"为腺样体肥大致长期张口呼吸,影响面骨发育,上颌骨变长,腭骨高拱,牙列不齐,上切牙突出,唇厚,缺乏表情。 |
|
|
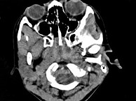
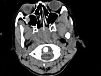
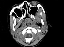
4.女,8岁,头痛,鼻塞半年余,CT如图所示,最可能诊断为 ( )![]() ![]() ![]() ![]() |
| 正确答案:C |
|
|
| 5.王某,女,11岁,主诉睡眠打鼾2年伴听力下降8个月,查体见耳鼓膜完整,鼻腔粘膜苍白肿胀,稀薄分泌物,应首先考虑诊断为 ( ) |
| 正确答案:C |
|
|
| 二、B1型题:(标准配伍题)以下提供若干组考题,每组考题共用在考题前列出的A、B、C、D、E五个备选答案。请从中选择一个与问题关系最密切的答案。 |
| (6-10题共用备选答案) |
| A.急性腺样体炎 B.急性化脓性扁桃体炎 C.腺样体肥大 D.慢性扁桃体炎 E.鼻咽癌 |
| 6.检查见咽隐窝有结节状隆起,表面粗糙不平,易出血的是 ( ) | |
| 7.检查见咽部粘膜弥漫充血,腭扁桃体肿大,其表面有黄白色脓点的是 ( ) | |
| 8.检查见咽部粘膜为暗红色,扁桃体表面可见瘢痕,凹凸不平,与周围组织有粘连的是 ( ) | |
| 9.检查见腺样体充血肿大,表面有渗出物,鼻腔和口腔有不同程度的急性炎症的是 ( ) | |
| 10.检查见鼻咽顶部呈桔瓣样增生,阻塞后鼻孔的是 ( ) |
| 正确答案:6.E,7.B,8.D,9.A,10.C |
|
|
| 三、X型题:(多选题)由一个题干和A、B、C、D、E五个备选答案组成,题干在前,选项在后。要求考生从五个备选答案中选出二个或二个以上的正确答案,多选、少选、错选均不得分。 |
| 11.腺样体肥大并发症包括 ( ) |
| 正确答案:ABCE |
|
|
| 12.腺样体切除不宜施行的是 ( ) |
| 正确答案:ABCD |
|
|
| 13.“腺样体面容”的特征包括 ( ) |
| 正确答案:ABCD |
|
|
| 14.属于腺样体肥大所致的局部症状有 ( ) |
| 正确答案:ABCD |