发布时间:2012-03-26 共1页
| 一、A1型题:(最佳单项选择题)每一道考试题下面有A、B、C、D、E五个备选答案。请从中选择一个最佳答案。 |
| 1.对咽旁脓肿的描述,错误的是 |
| 正确答案:E 解题思路:脓肿位于深部,由颈外触诊时不一定摸到波动感,故不能以有无波动感为诊断咽旁脓肿的依据。 |
|
|
| 2.婴幼儿期较常见的疾病是 |
| 正确答案:B 解题思路:急性型咽后脓肿多见于3岁以下的婴幼儿,常见为咽后隙化脓性淋巴结炎。由于婴幼儿每侧咽后隙中有3~8个淋巴结,口、咽、鼻腔及鼻旁窦的感染,可引起这些淋巴结发炎,进而化脓,最后形成脓肿。慢性型咽后脓肿多系咽后隙淋巴结结核或颈椎结核形成的寒性脓肿所致。扁桃体周脓肿多见于青壮年。 |
|
|
| 3.对扁桃体周脓肿的描述,错误的是 |
| 正确答案:D 解题思路:Passy认为Weber唾液腺与扁桃体周炎和扁桃体周脓肿的形成有密切关系。Weber腺为一组管状黏液腺,由20~25个黏液腺样结构组成,共用导管分布至扁桃体包膜,开口于扁桃体表面,其分泌物可帮助消化附着于扁桃体隐窝上的残余食物。当Weber腺体或导管系统阻塞或感染时产生蜂窝织炎,组织坏死、溶解,最后在扁桃体囊和咽侧壁、扁桃体上间隙之间形成脓肿。本病多为单侧发病,两侧同时发生者极少。临床上可分为前上型和后上型两种,前者脓肿位于扁桃体上极与腭舌弓之间,此型最常见;后者位于扁桃体与腭咽弓之间,较少见。 |
|
|
| 4.急性咽后脓肿的治疗不应 ( ) |
| 正确答案:E |
|
|
| 5.后上型扁桃体周脓肿发生部位常位于 ( ) |
| 正确答案:D |
|
|
| 二、B1型题:(标准配伍题)以下提供若干组考题,每组考题共用在考题前列出的A、B、C、D、E五个备选答案。请从中选择一个与问题关系最密切的答案。 |
| (6-10题共用备选答案) |
| A.扁桃体周脓肿前上型 B.扁桃体周脓肿后上型 C.咽后脓肿急性型 D.咽旁脓肿 E.咽后脓肿慢性型 |
| 6.扁桃体和腭咽弓之间的是 ( ) | |
| 7.扁桃体上极与腭舌弓之间的是 ( ) | |
| 8.多因咽后隙淋巴结结核或颈椎结核形成的寒性脓肿所引起的是 ( ) | |
| 9.颈深部的咽旁隙的化脓性炎症 ( ) | |
| 10.多见于3岁以下的婴幼儿的咽后隙化脓性淋巴结炎是 ( ) |
| 正确答案:6.B,7.A,8.E,9.D,10.C |
|
|
| (11-15题共用备选答案) |
| A.咽不痛,扁桃体肿大,表面坏死,覆盖灰白色假膜,伴有口腔溃疡,全身淋巴结肿大 B.咽痛剧烈,微张口,流涎,言语含糊 C.烦躁不安,呼吸困难,咽后壁一侧隆起,黏膜充血 D.无咽痛,咽部阻塞感,咽后壁中央隆起,黏膜色泽较淡 E.咽痛,颈部僵直,下颌角后方肿胀,触诊坚硬并有压痛 |
| 11.急性咽后脓肿 | |
| 12.结核性咽后脓肿 | |
| 13.咽旁脓肿 | |
| 14.扁桃体周围脓肿 | |
| 15.白血病性咽峡炎 |
| 正确答案:11.C,12.D,13.E,14.B,15.A |
|
|
| 三、X型题:(多选题)由一个题干和A、B、C、D、E五个备选答案组成,题干在前,选项在后。要求考生从五个备选答案中选出二个或二个以上的正确答案,多选、少选、错选均不得分。 |
| 16.对慢性型咽后脓肿的描述,正确的是 |
| 正确答案:ABE 解题思路:慢性型咽后脓肿多系咽后隙淋巴结结核或颈椎结核形成的寒性脓肿所致,多伴有结核病的全身表现,起病缓慢,病程较长,无咽痛;随着脓肿增大,患者逐渐出现咽部阻塞感。颈椎结核引起的脓肿,多位于咽后壁的中央,黏膜色泽较淡。 |
|
|
| 17.咽旁脓肿的并发症可有 |
| 正确答案:ABCDE 解题思路:咽旁脓肿向周围扩展可导致咽后脓肿、喉水肿、纵隔炎等;感染颈动脉鞘可致颈内动脉壁糜烂,导致致命性大出血;若侵犯颈内静脉可发生血栓性静脉炎或脓毒血症。 |
|
|
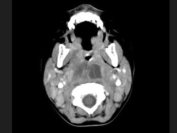
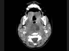
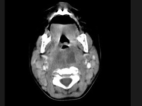
18.10个月大的婴儿,发热,曾患中耳炎,CT扫描如图所示,请选择正确的描述或诊断 ( )![]() ![]() ![]() |
| 正确答案:ABCD |
|
|
| 19.关于咽后脓肿描述对的是 ( ) |
| 正确答案:ABC |
|
|
| 20.治疗结核性咽后脓肿的方法包括 ( ) |
| 正确答案:ABD |