发布时间:2012-03-26 共1页
| 一、A1型题:(最佳单项选择题)每一道考试题下面有A、B、C、D、E五个备选答案。请从中选择一个最佳答案。 |
| 1.喉外伤的特异性症状是 |
| 正确答案:B 解题思路:颈部外伤患者如出现声音嘶哑或失声表明喉部有创伤,喉外伤可出现疼痛、呼吸困难、咯血及吞咽困难等临床表现,但出现这些症状并不能表明有喉创伤存在。 |
|
|
| 2.气管内插管引起的损伤性喉肉芽肿,不正确的选项是 |
| 正确答案:B 解题思路:气管插管引起的喉肉芽肿好发于声带中后1/3交界处,相当于声带突的位置。肉芽肿多在插管后2~8周出现,女性患者多见,可能与女性喉黏膜较薄及喉较小有关。主要表现为声音嘶哑。内服硫酸锌治疗肉芽肿可能有效。 |
|
|
| 3.全麻气管插管患者,拔管后即有声嘶或失声,并有喉痛及吞咽痛。间接喉镜下见一侧杓状软骨发声时固定不动,喉黏膜肿胀,声门闭合有裂隙。首先应考虑是 |
| 正确答案:E 解题思路:气管插管可引起喉黏膜插伤、喉水肿、损伤性肉芽肿、环杓关节脱位等,其中最常见的是环杓关节脱位。临床表现为拔管后即有声嘶或失声,有的患者伴有喉痛及吞咽痛,间接喉镜下可见病侧杓状软骨发声时固定不动或活动受限,可伴有轻重不等的黏膜肿胀及声门闭合时有裂隙。 |
|
|
| 4.喉烧伤的正确分型是 |
| 正确答案:A 解题思路:喉烧灼伤分为轻、中、重3型。①轻型喉烧灼伤:喉黏膜充血、肿胀或发白,损伤仅在声门区以上,患者可有声嘶、喉痛、咽痛、吞咽困难;②中型喉烧灼伤:喉黏膜水肿、糜烂,气管损伤在隆突水平以上的患者除有轻型的临床表现外,还有刺激性咳嗽、气促,甚至呼吸困难;③重型喉烧灼伤:喉黏膜水肿、糜烂、有伪膜,下呼吸道损伤已达支气管、肺泡,患者除有中型临床表现外,可出现剧烈咳嗽、脓血痰、呼吸困难以致昏迷。 |
|
|
| 5.喉的外部伤不包括 |
| 正确答案:E 解题思路:喉烧灼伤为喉内部伤,其他均为喉外部伤,其中喉挫伤为闭合性喉外伤,喉切割伤、刺伤和火器伤则为开放性喉外伤。 |
|
|
| 二、B1型题:(标准配伍题)以下提供若干组考题,每组考题共用在考题前列出的A、B、C、D、E五个备选答案。请从中选择一个与问题关系最密切的答案。 |
| (6-7题共用备选答案) |
| A.喉挫伤 B.喉火器伤 C.喉烧灼伤 D.损伤性喉肉芽肿 E.环杓关节脱位 |
| 6.闭合性喉外伤 | |
| 7.开放性喉外伤 |
| 正确答案:6.A,7.B |
|
|
| 三、X型题:(多选题)由一个题干和A、B、C、D、E五个备选答案组成,题干在前,选项在后。要求考生从五个备选答案中选出二个或二个以上的正确答案,多选、少选、错选均不得分。 |
| 8.喉内部伤包括 |
| 正确答案:ACDE |
|
|
| 9.行开放性喉外伤清创整复时,应包括下列哪些 ( ) |
| 正确答案:ACDE |
|
|
| 10.发生闭合性喉外伤时,可能出现以下哪些情况 ( ) |
| 正确答案:ABCDE |
|
|
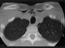
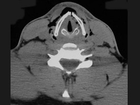
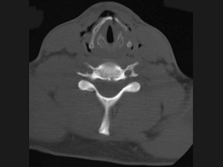
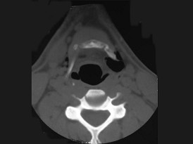
11.27岁男性,开车外出在高速行驶时翻车,呼吸困难,喉部肿胀,CT检查如图所示,请选择正确的描述或诊断 ( )![]() ![]() ![]() ![]() |
| 正确答案:ABCE |
|
|
| 12.中型喉烫伤的症状包括下列哪项 ( ) |
| 正确答案:ABCE |