发布时间:2012-03-26 共1页
| 一、A1型题:(最佳单项选择题)每一道考试题下面有A、B、C、D、E五个备选答案。请从中选择一个最佳答案。 |
| 1.第二颈椎也叫 ( ) |
| 正确答案:B |
|
|
| 2.腮腺鞘是由下面哪一层筋膜包裹而成 ( ) |
| 正确答案:C |
|
|
| 3.翼管神经的组成是 ( ) |
| 正确答案:A |
|
|
| 4.颈丛皮支集中穿出的部位是 ( ) |
| 正确答案:A |
|
|
| 5.除哪块肌外,其余均属舌骨上肌群 ( ) |
| 正确答案:A |
|
|
| 二、A3/A4型题:(病历组最佳选择题)以下提供若干个案例,每个案例下设若干道考题。请根据答案所提供的信息,在每一道考题下面的A、B、C、D、E五个备选答案中选择一个最佳答案。 |
| (6-9题共用题干) |
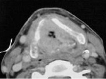
| 男,55岁,声嘶6年,有长期吸烟史。检查:无呼吸困难。喉镜检查:声带慢性充血,可见右侧声带可见菜花样新生物,右侧声带活动固定,喉部CT检查如下图: |
6.诊断首先考虑 ( )![]() ![]() ![]() ![]() |
| 7.如果病理发现恶性肿瘤细胞,了解病灶情况最有价值的辅助检查是 ( ) |
| 8.最佳的治疗方案是 ( ) |
| 9.患者术后第二天引流出乳白色液体约500ml,则要考虑 ( ) |
| 正确答案:6.C;7.A;8.C;9.C |
|
|
| 三、B1型题:(标准配伍题)以下提供若干组考题,每组考题共用在考题前列出的A、B、C、D、E五个备选答案。请从中选择一个与问题关系最密切的答案。 |
| (10-13题共用备选答案) |
| A.环甲肌 B.声门裂以下喉粘膜 C.声门裂以上喉粘膜 D.多数喉内肌 E.斜方肌 |
| 10.喉上神经内支支配 ( ) | |
| 11.喉上神经外支支配 ( ) | |
| 12.喉返神经支配 ( ) | |
| 13.副神经支配 ( ) |
| 正确答案:10.C,11.A,12.D,13.E |
|
|
| (14-15题共用备选答案) |
| A.甲状颈干 B.颈外动脉 C.无名动脉 D.主动脉 E.颈内动脉 |
| 14.甲状腺上动脉多发自 ( ) | |
| 15.甲状腺下动脉多发自 ( ) |
| 正确答案:14.B,15.A |
|
|
| 四、X型题:(多选题)由一个题干和A、B、C、D、E五个备选答案组成,题干在前,选项在后。要求考生从五个备选答案中选出二个或二个以上的正确答案,多选、少选、错选均不得分。 |
| 16.对颈深淋巴结上群的描述,正确的是 |
| 正确答案:ACD 解题思路:颈深淋巴结上群基本不收集胸腔淋巴回流,后者的淋巴液汇入颈深淋巴结下群。 |
|
|
| 17.对颈深淋巴结下群的描述,正确的是 |
| 正确答案:ABDE 解题思路:左侧汇入胸导管,右侧汇入颈淋巴干或颈内静脉。 |
|
|
| 18.舌骨上肌群包括 |
| 正确答案:ADE |
|
|
| 19.颈深上淋巴结收集 ( ) |
| 正确答案:AD |
|
|
| 20.颈深外侧肌群包括 ( ) |
| 正确答案:ABCD |