2012年耳鼻咽喉科主治医师考试颈部科学考试试题2

发布时间:2012-03-26 共1页

 颈部检查法
一、A1型题:(最佳单项选择题)每一道考试题下面有A、B、C、D、E五个备选答案。请从中选择一个最佳答案。
1.对颈部细胞学及病理学检查的描述,正确的是





正确答案:C
 
2.对颈部血管性包块既有诊断意义,又有治疗价值的是





正确答案:D
 
3.下列那个病人不宜作MRI检查  (    )





正确答案:A
 
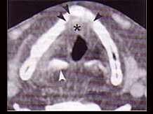
4.下面是一颈部CT图,其中结构标志不正确的是  (    )





正确答案:D
 
5.发现颈部包块后,不正确的处理是





正确答案:E
 
二、A3/A4型题:(病历组最佳选择题)以下提供若干个案例,每个案例下设若干道考题。请根据答案所提供的信息,在每一道考题下面的A、B、C、D、E五个备选答案中选择一个最佳答案。
(6-10题共用题干)
男,60岁,因吞咽疼痛伴咽异物感一个月就诊。间接喉镜下检查发现会厌侧面轻度糜烂、不光滑、隆起,既往有吸烟史。
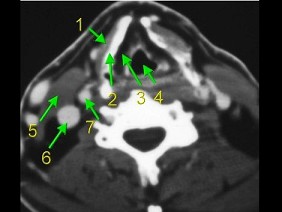
6.CT检查见下图,进一步的检查是  (    )








7.如果患者的活检结果是慢性炎症,进一步应该行  (    )




8.如果患者抗炎治疗效果不明显,检查局部粘膜糜烂减轻,则应该  (    )




9.如果患者6个月后出现了颈部无痛性肿大淋巴结,应该首先考虑  (    )




10.如果患者经病理证实为淋巴瘤,应该采用的治疗是  (    )





正确答案:6.E;7.A;8.D;9.C;10.C
 
(11-13题共用题干)
男,16岁,咽异物感6年,无咽部出血及吞咽障碍。检查:舌根部中央有半球形肿物隆起,粘膜光滑,质地中等。颈部淋巴结不大:
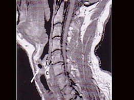
11.MRI检查结果如下图,下一步最重要的检查是  (    )






12.本患者最可能的诊断是  (    )




13.如果碘同位素检查示舌根肿物有核素聚焦,而颈部无核素聚焦,正确的治疗是  (    )





正确答案:11.C;12.C;13.A
 
三、B1型题:(标准配伍题)以下提供若干组考题,每组考题共用在考题前列出的A、B、C、D、E五个备选答案。请从中选择一个与问题关系最密切的答案。
(14-18题共用备选答案)
A.声像图圆形或类圆形,包膜完整,内为暗回声区,与周围组织无明显粘连
B.位于颈内外动脉分叉处,颈内外动脉间距增宽,肿块包绕颈动脉,呈低弱回声区
C.声像图内部回声不均匀,多呈实质性低弱回声,边界不清,无包膜,形态不规则
D.圆形或椭圆形,内为均匀的强回声区,包膜完整,与周围组织分界明显,有挤压现象
E.甲状腺内部回声不均,边界不清,无包膜或包膜不完整
14.恶性肿瘤的B超声像图特征是
15.甲状舌管囊肿的B超声像图特征是
16.神经鞘膜瘤的B超声像图特征是
17.甲状腺癌的B超声像图特征是
18.颈动脉体瘤的B超声像图特征是

正确答案:14.C,15.A,16.D,17.E,18.B
 
(19-21题共用备选答案)
A.烷化剂
B.抗代谢药
C.抗肿瘤抗生素
D.抗肿瘤植物药
E.抗肿瘤激素
19.丝裂霉素  (    )
20.环磷酰胺  (    )
21.长春新碱  (    )

正确答案:19.C,20.A,21.D
 
四、X型题:(多选题)由一个题干和A、B、C、D、E五个备选答案组成,题干在前,选项在后。要求考生从五个备选答案中选出二个或二个以上的正确答案,多选、少选、错选均不得分。
22.咽旁间隙内多见的肿瘤为  (    )





正确答案:BCD
 
23.B超检查可了解  (    )





正确答案:ABCDE
 
24.下列检查能判断肿块与周围血管之间关系的有  (    )





正确答案:CDE
 
25.DSA检查在颈部主要应用于  (    )





正确答案:ABCDE
 
26.颈部视诊应注意观察





正确答案:ABCDE

百分百考试网 考试宝典

立即免费试用