发布时间:2012-03-26 共1页
| 一、A1型题:(最佳单项选择题)每一道考试题下面有A、B、C、D、E五个备选答案。请从中选择一个最佳答案。 |
| 1.根据鳃裂囊肿及瘘管的胚胎发育来源不同分为 |
| 正确答案:B 解题思路:鳃裂囊肿及瘘管为胚胎时发育异常引起,根据胚胎发育来源不同,分为第一鳃裂囊肿及瘘管、第二鳃裂囊肿及瘘管和第三鳃裂囊肿及瘘管。 |
|
|
| 2.患者,男,27岁,10年前因颈前包块并皮肤瘘口行手术治疗。术后诊断为甲状舌管囊肿。近5个月于颈前偏左、喉上方出现鸽蛋大的包块,囊性。近半月突然增大并疼痛,触痛明显。包块随吞咽上下移动,可能是 |
| 正确答案:E 解题思路:甲状舌管囊肿及瘘管是发病率最高的颈部先天性疾病,由甲状舌管发育异常引起。囊肿多位于舌骨下方;瘘管包括同时具有内、外瘘口的完全性瘘管和只具有外瘘口的不完全性瘘管。囊肿质软,无压痛,合并感染后可有明显疼痛。因它与舌骨关系密切,可随吞咽运动而上下活动,切除不彻底可复发。本例曾有甲状舌管瘘管切除病史,发病经过较缓慢,符合甲状舌管囊肿的特点,因前次切除了外瘘口但整体切除不彻底而复发,合并感染后肿块突然增大,并有疼痛等症状。 |
|
|
| 3.囊性水瘤是起源于 |
| 正确答案:C 解题思路:囊性水瘤是起源于淋巴组织的先天性疾病。胚胎发育期,颈囊发育成淋巴系统的过程中,部分淋巴组织迷走并形成囊状水瘤。本病多发生于颈部,其次是腋窝。 |
|
|
| 4.完全性甲状舌管瘘管内瘘口位于 ( ) |
| 正确答案:C |
|
|
| 5.第1鳃裂瘘管内瘘口位于 ( ) |
| 正确答案:D |
|
|
| 二、A3/A4型题:(病历组最佳选择题)以下提供若干个案例,每个案例下设若干道考题。请根据答案所提供的信息,在每一道考题下面的A、B、C、D、E五个备选答案中选择一个最佳答案。 |
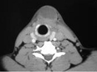
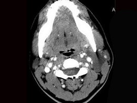
| (6-7题共用题干) |
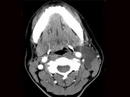
| 十产岁患者,女性,因颈前正中包块3年入院,查体:颈前胸锁乳突肌前缘上1/3外可触及一圆形包块,囊性,无压痛,不随吞咽上下活动。 |
6.CT检查结果见下图,本患者应考虑为 ( )![]() ![]() ![]() ![]() |
| 7.如果考虑为你所选的上述疾病,手术前应该完善下面那个检查 ( ) |
| 正确答案:6.C;7.E |
|
|
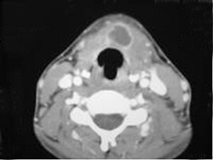
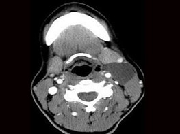
| (8-9题共用题干) |
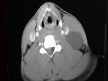
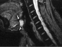
| 八岁患者,男性,因颈前正中包块6年入院,查体:颈前正中舌骨下方可触及一圆形包块,囊性,无压痛,随吞咽上下活动。 |
8.患者肿块图像及影像学检查结果见下图,本患者应考虑为 ( )![]() ![]() ![]() ![]() |
| 9.如果考虑为你所选的上述疾病,手术前应该完善下面那个检查 ( ) |
| 正确答案:8.A;9.A |
|
|
| 三、B1型题:(标准配伍题)以下提供若干组考题,每组考题共用在考题前列出的A、B、C、D、E五个备选答案。请从中选择一个与问题关系最密切的答案。 |
| (10-12题共用备选答案) |
| A.舌盲孔 B.梨状窝 C.外耳道或耳周围 D.腭扁桃体窝 |
| 10.第1鳃裂囊肿及瘘管的内瘘口多位于 ( ) | |
| 11.第2鳃裂囊肿及瘘管的内瘘口多位于 ( ) | |
| 12.第3鳃裂囊肿及瘘管的内瘘口多位于 ( ) |
| 正确答案:10.C,11.D,12.B |
|
|
| 四、X型题:(多选题)由一个题干和A、B、C、D、E五个备选答案组成,题干在前,选项在后。要求考生从五个备选答案中选出二个或二个以上的正确答案,多选、少选、错选均不得分。 |
| 13.下列哪些体征为诊断囊状水瘤的依据 ( ) |
| 正确答案:CDE |
|
|
| 14.甲状舌管瘘管常穿过 ( ) |
| 正确答案:AE |
|
|
| 15.甲状舌管囊肿 ( ) |
| 正确答案:ABD |
|
|
| 16.甲状舌管囊肿应与哪几种疾病鉴别 ( ) |
| 正确答案:ABC |
|
|
| 17.皮样囊肿 ( ) |
| 正确答案:AD |