2012年主治医师考试放射医学专业复习题及其答案三十

发布时间:2012-03-27 共1页

 第八章 生殖系统与乳腺(A1型题1)
一、A1型题:题干在前,选项在后。有A、B、C、D、E五个备选答案其中只有一个为最佳答案,其余选项为干扰答案。考生须在5个选项中选出一个最符合题意的答案(最佳答案)。
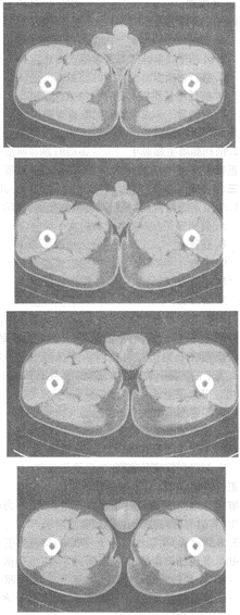
1.男,20岁,外伤1天,左侧阴囊肿痛,结合CT平扫图像,最可能的诊断是





正确答案:A 解题思路:阴囊肿大,左侧睾丸结构不清,可见弧形高密度影,内见低密度区,结合外伤病史,考虑睾丸血肿可能大。
 
2.乳腺纤维腺瘤的CT表现中,哪项描述不正确




正确答案:B 解题思路:边缘分叶为恶性肿瘤的征象。
 
3.输卵管结核感染的途径,错误的是





正确答案:E 解题思路:输卵管结核以血行感染最多,上行感染极为罕见。
 
4.输卵管全长8~14cm,由内向外分别为





正确答案:C 解题思路:输卵管根据各段形态不同可分为四部分,由内向外分别为间质部、峡部、壶腹部和伞部。
 
5.早期乳腺癌最适宜的检查方法





正确答案:D 解题思路:软线摄影采用能发射软X线的钼靶X线管球,用以检查软组织,主要是乳腺。

百分百考试网 考试宝典

立即免费试用