一、A1型题:题干在前,选项在后。有A、B、C、D、E五个备选答案其中只有一个为最佳答案,其余选项为干扰答案。考生须在5个选项中选出一个最符合题意的答案(最佳答案)。
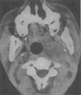
1.男性,50岁。涕中带血丝1个月余,无发热及咽部肿痛。CT检查见图所示,应首先怀疑以下何种疾病
A.鼻咽癌
B.咽旁脓肿
C.咽部淋巴结炎
D.喉癌
E.神经纤维瘤
正确答案:A解题思路:鼻咽癌病理上主要包括鳞状细胞癌、腺癌、泡状细胞癌和未分化癌。按其发展方向可分为上行型、下行型和混合型。
2.男性,59岁,胸、腰背痛3个月。X线片示胸腰椎广泛骨质疏松,数个椎体变扁,椎间隙正常,椎弓根正常,右侧有一肋骨呈膨胀改变,应首先考虑的诊断是
A.多发骨髓瘤
B.转移瘤
C.老年性骨质疏松
D.甲状旁腺功能亢进
E.特发性骨质溶解症
正确答案:A解题思路:骨髓瘤按发病数目可分为单发性骨髓瘤和多发性骨髓瘤,最常受侵部位为中轴骨及四肢近端长骨。
3.女性,19岁,右股骨下端疼痛3个月。X线片如图。诊断应考虑
A.骨肉瘤
B.软骨肉瘤
C.骨巨细胞瘤
D.纤维肉瘤
E.动脉瘤样骨囊肿
正确答案:A解题思路:骨肉瘤主要成分为肿瘤性成骨细胞、肿瘤性骨样组织、肿瘤骨,还可见到肿瘤性软骨组织和纤维组织。
4.男,17岁。右膝关节疼痛1个月余,轻度肿胀。X线片示胫骨近端圆形骨质破坏(如图),应考虑的诊断是
A.骨囊肿
B.骨脓肿
C.骨结核
D.骨巨细胞瘤
E.成软骨细胞瘤
正确答案:C解题思路:骨结核大多数继发于肺结核。结核杆菌经血行到达骨或关节,停留于血管丰富的骨松质内而发病,病理上表现为渗出、变质和增殖。
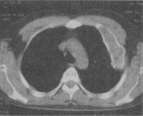
5.男性,40岁。查体发现肋骨病变,X线片和CT片如图。应首先考虑的诊断是
A.软骨瘤
B.骨囊肿
C.骨巨细胞瘤
D.骨纤维异常增殖症
E.成软骨细胞瘤
正确答案:D解题思路:骨纤维异常增殖症病理上正常骨组织被纤维组织或纤维骨样组织取代,骨皮质膨胀,边缘硬化,病变内可有嵴样隆起。
二、B型题:是一组试题(2至4个)公用一组A、B、C、D、E五个备选。选项在前,题干在后。每题只有一个正确答案。每个选项可供选择一次,也可重复选用,也可不被选用。考生只需为每一道题选出一个最佳答案。
(6-7题共用备选答案)
A.肺门肿块并叶支气管被阻断
B.肺内肿块并亚段支气管被阻断
C.肺门肿块并叶支气管受压变窄
D.肺门肿块并肺大疱形成
E.肺内肿块并支气管扩张
6.中心型肺癌患者可见
7.周围型肺癌患者可见
正确答案:6.A,7.B解题思路:2.周围型肺癌是指肿瘤发生于肺段以下支气管的肺癌,可见于各种组织学类型。其中主要是细支气管肺泡癌和腺癌,也见于鳞状细胞癌、小细胞癌、大细胞癌和类癌。
(8-9题共用备选答案)
A.外伤
B.喉癌
C.声带水肿
D.息肉
E.声带麻痹
8.喉部软骨破坏见于
9.软骨的断裂错位见于
正确答案:8.B,9.A解题思路:1.喉癌声门型癌的癌肿易侵犯前联合,并可由此向前破坏甲状软骨。
2.软骨的断裂错位见于外伤。各种暴力作用皆可导致喉结构损伤,以甲状软骨及环状软骨多见,喉软骨骨折表现为软骨错位和骨片分离。