一、A1型题:题干在前,选项在后。有A、B、C、D、E五个备选答案其中只有一个为最佳答案,其余选项为干扰答案。考生须在5个选项中选出一个最符合题意的答案(最佳答案)。
1.男,58岁,进食梗阻感,结合图像,最可能的诊断为
A.正常食管
B.食管静脉曲张
C.食管平滑肌瘤
D.食管上段癌
E.食管下段癌
正确答案:D解题思路:食管范围较长的不规则充盈缺损,管腔变窄,伴表面有龛影,结合病史为食管癌性病变。
2.男,38岁,钡剂示食管壁张力减低,蠕动减弱,钡剂排空延迟,并见食管下段有串珠状充盈缺损影,首先应考虑
A.食管下段静脉曲张
B.食管黏膜下平滑肌瘤
C.反流性食管炎
D.食管裂孔疝
E.食管癌
正确答案:A解题思路:食管的串珠状充盈缺损影为食管静脉曲张的典型表现。
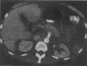
3.男,46岁,脾脏术后3天,右上腹痛,CT扫描如图,最可能的诊断是
A.肝脏正常、脾脏术后改变
B.肝门脉血栓形成,脾脏术后改变
C.肝内胆管囊肿
D.胆总管下端结石
E.胆管细胞癌
正确答案:B解题思路:门脉管腔增大,管腔内可见软组织影,未见强化,未见脾脏。
4.40岁男性,右下颌骨膨隆。CT示右下颌角有一2.5cm×3.0cm囊实性肿块,分叶多房状,最可能的诊断是
A.造釉细胞瘤
B.含牙囊肿
C.纤维瘤
D.软骨瘤
E.骨肉瘤
正确答案:A解题思路:造釉细胞瘤多见于青壮年,男性略多于女性,80%发生于下颌骨,CT表现为低密度与等密度混合的囊状区,多为房状、蜂窝状或单房状;含牙囊肿病灶一般轮廓清晰,边缘光滑整齐。
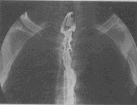
5.女,41岁,吞咽困难3年,有时进流质困难,伴呕吐,胸骨后疼痛。X线检查:食管吞钡下端呈锥状狭窄,上端扩大;患者做跳跃动作时,钡剂呈间歇性以粗细不等的圆柱向胃内喷流,狭窄部有纵行规则的黏膜皱襞。首先应考虑为
A.食管癌
B.食管憩室
C.贲门癌
D.贲门失弛缓症
E.食管平滑肌瘤
正确答案:D解题思路:贲门失弛缓症临床变现主要是吞咽困难,X线主要表现食管下端漏斗状、鸟嘴状锥形狭窄,钡剂通过受阻,呈间歇性流入胃内,狭窄段以上扩张,食管蠕动减弱等,结合此患者病史及影像特点考虑选D。
二、B型题:是一组试题(2至4个)公用一组A、B、C、D、E五个备选。选项在前,题干在后。每题只有一个正确答案。每个选项可供选择一次,也可重复选用,也可不被选用。考生只需为每一道题选出一个最佳答案。
(6-7题共用备选答案)
A.中、下腹部肠襻内充满液体呈"假肿瘤"征
B.中、下腹部扩张的肠襻靠拢呈咖啡豆状
C.下腹部肠管扩张达12cm,呈马蹄状,内有液平
D.大、小肠呈均等积气、扩张
E.右膈下见游离气体
6.绞窄性小肠梗阻的特征性X线表现为
7.急性乙状结肠扭转的X线平片特点是
正确答案:6.A,7.C
(8-10题共用备选答案)
A.肺淤血、主动脉结小,肺动脉段突,左心房、右心室增大
B.肺血正常、主动脉结正常,肺动脉段突,左心房、室增大
C.肺血正常、主动脉结大,肺动脉段凹陷,右心室增大
D.肺血正常、升主动脉扩张突出右心缘,主动脉结大,肺动脉段凹陷,左心室增大
E.肺轻度淤血,主动脉结大,肺动脉段凹陷,左心室显著增大
8.风湿性心脏病,主动脉瓣狭窄X线表现
9.风湿性心脏病,主动脉瓣关闭不全X线表现
10.风湿性心脏病,二尖瓣关闭不全X线表现
正确答案:8.D,9.E,10.B