2012年主治医师考试放射医学专业专业实践能力人机对话考试试题

发布时间:2012-03-28 共1页

 放射(专业实践技能)
一、A3型题:以下提供若干个案例,每个案例下设若干道考题。请根据答案所提供的信息,在每一道考题下面的A、B、C、D、E五个备选答案中选择一个最佳答案。
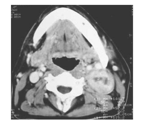
(1-2题共用题干)
患者,女,43岁,发现左侧颌下包块2年多,近3个月明显增大。行CT增强扫描如图所示:
1.最可能的诊断是




2.若要明确肿瘤与邻近结构的关系,最好行以下哪种检查





正确答案:1.C;2.D
 
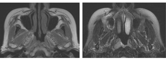
(3-4题共用题干)
患者,男,53岁,发现鼻塞及右侧颈部包块、面部疼痛一个月余,查体左颈部有一质硬的包块。MRI如图所示:
3.本病最可能诊断为




4.以下关于本病描述不正确的是





正确答案:3.E;4.C
 
二、案例分析题:以下提供若干个案例,每个案例下设若干个提问,请根据题干所提供的信息和提示信息,在每题下面备选答案中选出全部正确答案。正确答案可能为一个或多个,根据选项的重要性而得分权重不同,选对正确答案得分,选错答案扣分,直至扣至本问得分为0。(注:案例分析题答题在机考中不可逆,即答完一问后不能返回修改)。
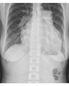
(5-10题共用题干)
患者,女,33岁。心悸、气短,活动后明显。听诊胸骨左缘2~3肋间闻及收缩期杂音,肺动脉第二音亢进。胸部X线平片检查如下图:
5.该心型为





6.结合临床本病应考虑为下列哪种疾病





7.就该心型而言还应考虑下列哪些疾病





8.若要明确诊断最简单易行的检查方法是





9.该病的典型听诊表现为





10.该病合并下列哪种疾病构成Lutembacher综合征






正确答案:5.C;6.A;7.D;8.B;9.AF;10.D

百分百考试网 考试宝典

立即免费试用