2012年主治医师考试放射医学专业专业知识复习题及其答案4

发布时间:2012-03-27 共1页

 神经系统及头颈部(A1型题4)
一、A1型题:题干在前,选项在后。有A、B、C、D、E五个备选答案其中只有一个为最佳答案,其余选项为干扰答案。考生须在5个选项中选出一个最符合题意的答案(最佳答案)。
1.患者男性,56岁,右侧面部肿胀、麻木两月余,伴流涕。CT示右侧上颌窦内软组织密度影,后外侧壁骨质消失,诊断为





正确答案:C 解题思路:鼻腔和鼻窦的恶性肿瘤以鳞状细胞癌最多见,鼻窦的恶性肿瘤的症状出现较晚,并视其侵犯的部位不同而表现不同。上颌窦恶性肿瘤多见于男性,上颌窦恶性肿瘤早期常局限于窦腔,以后逐渐发展占据整个窦腔,并向邻近蔓延。癌肿向上破坏上颌窦顶壁侵及眼眶,向内经窦腔自然开口或破坏内侧壁侵及鼻腔;经窦腔内上角侵犯筛小房,经窦腔后壁侵及翼腭窝,经前壁侵及面颉软组织,经外侧壁侵及颞下区,经底壁侵及齿槽、硬腭。
 
2.患者女性,45岁,左侧眼球向外下突出2个月余,逐渐加重,伴复视。CT示左侧额窦扩大,窦腔内呈软组织密度,骨壁变薄,左眼球受压移位,诊断为





正确答案:B 解题思路:鼻窦黏液囊肿多见于额窦、筛小房或蝶窦,额窦黏液囊肿多见于中老年人,而筛小房黏液囊肿多见于中年或青年,儿童亦可发生。囊肿最初可无不适,额窦、筛小房黏液囊肿缓慢生长,膨胀的囊肿可压迫窦壁产生面部畸形和相应的症状,如头痛、眼球突出和移位,隆起的局部可扪及乒乓球样肿块。鼻窦黏液囊肿的CT平扫表现为窦腔内低密度的软组织影,肿块边缘光滑呈弧形,可见均匀细薄的稍高密度的囊壁,当囊肿呈高压时窦腔呈类圆形膨胀性扩大,窦壁呈弧形变薄或外移。囊内黏液一般为不增强的低密度区,CT值约20Hu左右,而窦壁可有线形增强。
 
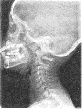
3.患者男性,5岁,反复呛咳,张口呼吸,有鼾声,鼻腔分泌物多。X线检查如图所见,最可能的诊断是





正确答案:D 解题思路:鼻咽腺样体为位于鼻咽顶部的一团淋巴结组织,儿童期可呈生理性肥大,5岁左右最明显,以后逐渐萎缩,至15岁左右达成人状态。临床上常见鼻塞、张口呼吸,入睡时有鼾声。X线鼻咽侧位片,见鼻咽顶后壁软组织广泛肿胀、增厚,表面柔软光滑,鼻咽腔因腺样体占位而狭小,局部骨质无改变。
 
4.患者男性,17岁,反复鼻出血1年。CT示翼腭窝软组织肿块,压迫上颌窦后壁弯曲前移,明显强化,诊断为





正确答案:D 解题思路:鼻咽纤维血管瘤又称青年鼻咽血管纤维瘤,易发于男性青年中,高发年龄为10~25岁。肿瘤内主要为致密纤维组织,内含丰富血管,血管管壁薄,缺乏弹性,损伤后不易收缩,常致大出血。瘤体呈与肌组织相仿密度,CT平扫时瘤体与周围组织分辨较差。增强明显强化。
 
5.患者头痛3年。CT示小脑蚓部有一个3.0cm×3.5cm高密度影,明显增强。四脑室受压变窄、前移,第三脑室及双侧侧脑室扩大,最可能诊断为





正确答案:B 解题思路:髓质母细胞瘤起源于小脑蚓部,常突入、压迫或阻塞第四脑室,引起梗阻性脑积水。CT表现为后颅凹中部均匀一致的类圆形略高密度影,少数为等密度,呈均匀性强化,周围有低密度水肿带,很少有出血、囊变及钙化。

百分百考试网 考试宝典

立即免费试用