2012年主治医师考试放射医学专业专业实践能力复习题及其答案一

发布时间:2012-03-27 共1页

 神经系统及头颈部
一、案例分析题:以下提供若干个案例,每个案例下设若干个提问,请根据题干所提供的信息和提示信息,在每题下面备选答案中选出全部正确答案。正确答案可能为一个或多个,根据选项的重要性而得分权重不同,选对正确答案得分,选错答案扣分,直至扣至本问得分为0。(注:案例分析题答题在机考中不可逆,即答完一问后不能返回修改)。
(1-3题共用题干)
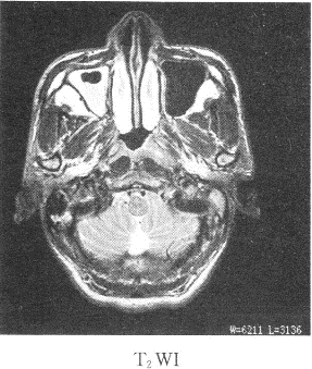
患者男性,39岁,因耳鸣,听力下降来院,影像学检查如图所示
 
 
 
1.该患者最有可能的诊断是




2.该病在国内最好发的地域是




3.关于鼻咽癌,以下说法正确的是:





正确答案:1.C;2.B;3.ABDE 解题思路:鼻咽癌我国以广东省为高发地区,男性多于女性,好发于鼻咽顶壁,其次为侧壁,前壁和底壁极少。

百分百考试网 考试宝典

立即免费试用