2012年主治医师考试放射医学专业专业实践能力复习题及其答案五

发布时间:2012-03-27 共1页

 骨与关节
一、案例分析题:以下提供若干个案例,每个案例下设若干个提问,请根据题干所提供的信息和提示信息,在每题下面备选答案中选出全部正确答案。正确答案可能为一个或多个,根据选项的重要性而得分权重不同,选对正确答案得分,选错答案扣分,直至扣至本问得分为0。(注:案例分析题答题在机考中不可逆,即答完一问后不能返回修改)。
(1-3题共用题干)
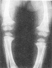
患儿女性,2岁,睡眠差、哭闹、易出汗;双腿呈"O"形。X线平片如图所示。
 
1.根据以上临床资料及影像学检查,初步诊断为何病





2.为明确诊断,需要完善哪些相关资料





3.关于维生素D缺乏佝偻病的影像学表现哪些是正确的






正确答案:1.D;2.ABDEF;3.ABCDEF 解题思路:长骨的骨干可因骨膜下骨样组织形成而变粗,且边缘模糊。

百分百考试网 考试宝典

立即免费试用