发布时间:2012-03-27 共1页
| 一、案例分析题:以下提供若干个案例,每个案例下设若干个提问,请根据题干所提供的信息和提示信息,在每题下面备选答案中选出全部正确答案。正确答案可能为一个或多个,根据选项的重要性而得分权重不同,选对正确答案得分,选错答案扣分,直至扣至本问得分为0。(注:案例分析题答题在机考中不可逆,即答完一问后不能返回修改)。 |
| (1-6题共用题干) |
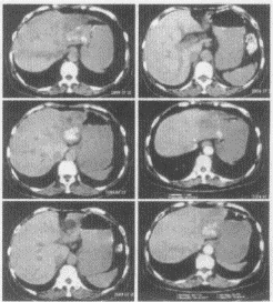
| 女,60岁,上腹痛10个月,近来加剧。疼痛以夜间为重,坐起可缓解,向背部放射,胃纳差,近期体重下降。实验室检查正常。 |
| 1.从题干所给的表现你认为最可能的病变为? |
| 2.你认为应做那些检查 |
3.患者所做检查图如下,你考虑为何种疾病?![]() |
| 4.你的诊断依据是那些? |
| 5.病变来源于下列哪些组织或细胞? |
| 6.本病需与哪些疾病相鉴别 |
| 正确答案:1.ABD;2.ABD;3.C;4.BCDE;5.B;6.ABC |