发布时间:2012-03-27 共1页
| 一、A1型题:题干在前,选项在后。有A、B、C、D、E五个备选答案其中只有一个为最佳答案,其余选项为干扰答案。考生须在5个选项中选出一个最符合题意的答案(最佳答案)。 |
1.男性,50岁。涕中带血丝1个月余,无发热及咽部肿痛。CT检查见图所示,应首先怀疑以下何种疾病![]() |
| 正确答案:A 解题思路:鼻咽癌病理上主要包括鳞状细胞癌、腺癌、泡状细胞癌和未分化癌。按其发展方向可分为上行型、下行型和混合型。 |
|
|
| 2.男性,59岁,胸、腰背痛3个月。X线片示胸腰椎广泛骨质疏松,数个椎体变扁,椎间隙正常,椎弓根正常,右侧有一肋骨呈膨胀改变,应首先考虑的诊断是 |
| 正确答案:A 解题思路:骨髓瘤按发病数目可分为单发性骨髓瘤和多发性骨髓瘤,最常受侵部位为中轴骨及四肢近端长骨。 |
|
|
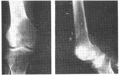
3.女性,19岁,右股骨下端疼痛3个月。X线片如图。诊断应考虑![]() |
| 正确答案:A 解题思路:骨肉瘤主要成分为肿瘤性成骨细胞、肿瘤性骨样组织、肿瘤骨,还可见到肿瘤性软骨组织和纤维组织。 |
|
|
4.男,17岁。右膝关节疼痛1个月余,轻度肿胀。X线片示胫骨近端圆形骨质破坏(如图),应考虑的诊断是![]() |
| 正确答案:C 解题思路:骨结核大多数继发于肺结核。结核杆菌经血行到达骨或关节,停留于血管丰富的骨松质内而发病,病理上表现为渗出、变质和增殖。 |
|
|
5.男性,40岁。查体发现肋骨病变,X线片和CT片如图。应首先考虑的诊断是![]() |
| 正确答案:D 解题思路:骨纤维异常增殖症病理上正常骨组织被纤维组织或纤维骨样组织取代,骨皮质膨胀,边缘硬化,病变内可有嵴样隆起。 |
|
|
| 二、B型题:是一组试题(2至4个)公用一组A、B、C、D、E五个备选。选项在前,题干在后。每题只有一个正确答案。每个选项可供选择一次,也可重复选用,也可不被选用。考生只需为每一道题选出一个最佳答案。 |
| (6-7题共用备选答案) |
| A.肺门肿块并叶支气管被阻断 B.肺内肿块并亚段支气管被阻断 C.肺门肿块并叶支气管受压变窄 D.肺门肿块并肺大疱形成 E.肺内肿块并支气管扩张 |
| 6.中心型肺癌患者可见 | |
| 7.周围型肺癌患者可见 |
| 正确答案:6.A,7.B 解题思路:2.周围型肺癌是指肿瘤发生于肺段以下支气管的肺癌,可见于各种组织学类型。其中主要是细支气管肺泡癌和腺癌,也见于鳞状细胞癌、小细胞癌、大细胞癌和类癌。 |
|
|
| (8-10题共用备选答案) |
| A.强化扫描示胰腺低密度肿块,远侧胰管扩张 B.强化扫描示胰腺略高密度肿块,胰管扩张 C.胰腺萎缩,胰管呈串珠样扩张,可见点状钙化 D.胰头不均质强化病灶,可见点状钙化 E.胰腺弥漫性肿大,边缘模糊 |
| 8.胰腺癌可表现为 | |
| 9.慢性胰腺炎最常见的表现为 | |
| 10.急性水肿型胰腺炎可表现为 |
| 正确答案:8.A,9.C,10.E |
|
|
| 三、X型题:由一个题干和A、B、C、D、E五个备选答案组成,题干在前,选项在后。要求考生从五个备选答案中选出二个或二个以上的正确答案,多选、少选、错选均不得分。 |
| 11.属于脑外肿瘤征象的是 |
| 正确答案:BCE 解题思路:脑外肿瘤的征象有肿瘤边界清楚锐利;邻近颅骨内板有骨质改变;邻近蛛网膜下腔和脑池增宽;脑皮质受压内移;肿瘤与颅骨内板接触面呈钝角。 |
|
|
| 12.属于脑内肿瘤征象的是 |
| 正确答案:AE 解题思路:脑内肿瘤的征象有肿瘤边界不清楚;邻近颅骨内板有骨质改变罕见;邻近蛛网膜下腔和脑池受压变窄或闭塞;脑皮质正常;肿瘤与颅骨内板接触面呈锐角。 |
|
|
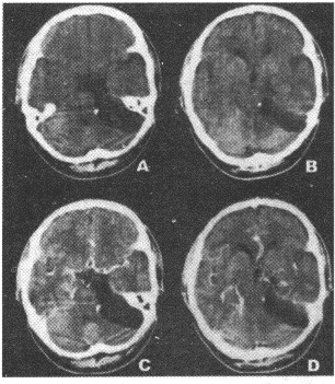
13.女性,43岁。左侧面部不适感1年。CT图像如图所示,需要进行鉴别诊断的疾病包括![]() |
| 正确答案:AD 解题思路:胆脂瘤为起源于外胚层的先天性肿瘤,是胚胎早期神经沟封闭时,皮肤外胚层的剩件留下来发展而成。 |
|
|
| 14.男性,8岁。头痛伴喷射状呕吐2个月。 |
| 正确答案:AB |
|
|
| 四、A3/A4型题:以下提供若干个案例,每个案例下设若干考题。请根据各考题题干所提供的信息,在每题下面的A、B、C、D、E五个备选答案中选择一个最佳答案,并在答题卡上将相应题号的相应字母所属的方框涂黑。 |
| (15-16题共用题干) |
![]() |
| 15.最可能的诊断是 |
| 16.根据以上情况,为明确病变性质诊断,应首选下列哪种检查方案 |
| 正确答案:15.D;16.A 解题思路:胃癌BorrmannⅢ型又称浸润溃疡型,其特点是有较大的溃疡,形状不规则,环堤常不完整,宽窄不一,与正常胃壁界限不明显。 |
|
|
| (17-18题共用题干) |
| 男性,50岁,双手及双足小关节肿胀、疼痛,反复发作10年。X线片示双侧第一跖趾关节间隙变窄,边缘有小囊状骨质破坏伴骨端骨质增生。 |
| 17.应首先考虑的诊断是 |
| 18.根据以上情况,进一步证实诊断的检查手段是 |
| 正确答案:17.B;18.D 解题思路:痛风是以血清及体液中尿酸增加及尿酸结晶沉着于关节、关节周围及皮下组织,引起炎症反应为特征的代谢障碍性疾病。 |