发布时间:2012-03-27 共1页
| 一、A1型题:题干在前,选项在后。有A、B、C、D、E五个备选答案其中只有一个为最佳答案,其余选项为干扰答案。考生须在5个选项中选出一个最符合题意的答案(最佳答案)。 |
| 1.胃溃疡的直接征象是 |
| 正确答案:D |
|
|
| 2.成年人髓外硬膜外最常见肿瘤有 |
| 正确答案:E |
|
|
| 3.以下哪种CT表现更倾向于硬膜外血肿而不是硬膜下血肿 |
| 正确答案:B |
|
|
| 4.下列哪一项不是胃双重造影质量标准 |
| 正确答案:D |
|
|
| 5.退行性滑脱与椎弓崩裂并滑脱的重要鉴别点在于 |
| 正确答案:E |
|
|
| 二、B型题:是一组试题(2至4个)公用一组A、B、C、D、E五个备选。选项在前,题干在后。每题只有一个正确答案。每个选项可供选择一次,也可重复选用,也可不被选用。考生只需为每一道题选出一个最佳答案。 |
| (6-7题共用备选答案) |
| A.三叉神经鞘瘤 B.听神经鞘瘤 C.颅咽管瘤 D.星形细胞瘤 E.胆脂瘤 |
| 6.以上哪种肿瘤最易跨颅中窝、颅后窝生长 | |
| 7.以上哪种肿瘤最易出现蛋壳样钙化 |
| 正确答案:6.A,7.C |
|
|
| (8-9题共用备选答案) |
| A.椎体骨折 B.颅骨骨折 C.跟骨骨折 D.髋骨骨折 E.骨端关节内骨松质骨折 |
| 8.塌陷或呈状骨折线见于 | |
| 9.T形或Y形嵌压骨折线见于 |
| 正确答案:8.B,9.E |
|
|
| 三、X型题:由一个题干和A、B、C、D、E五个备选答案组成,题干在前,选项在后。要求考生从五个备选答案中选出二个或二个以上的正确答案,多选、少选、错选均不得分。 |
| 10.肾癌的CT表现以下哪一项是正确的 |
| 正确答案:ABD |
|
|
| 11.下列哪项征象提示结肠息肉恶变 |
| 正确答案:BDE |
|
|
| 12.对于腕月骨缺血坏死的正确叙述是 |
| 正确答案:ACD |
|
|
| 13.短骨结核的特点是 |
| 正确答案:ACD |
|
|
| 14.骨折的X线直接征象包括 |
| 正确答案:ACD |
|
|
| 四、A3/A4型题:以下提供若干个案例,每个案例下设若干考题。请根据各考题题干所提供的信息,在每题下面的A、B、C、D、E五个备选答案中选择一个最佳答案,并在答题卡上将相应题号的相应字母所属的方框涂黑。 |
| (15-16题共用题干) |
| 患者,男性15岁。鼻塞、反复严重鼻出血4个月。 |
| 15.首选的影像学检查为 |
| 16.最可能的诊断为 |
| 正确答案:15.D;16.C |
|
|
| (17-18题共用题干) |
| 女,20岁。呼吸短促1周,大量咳血2小时。胸部X线片示双肺多发斑片状实变影。化验检查:血尿++,蛋白尿+。 |
| 17.最可能的诊断是 |
| 18.该病的最明显的特点是 |
| 正确答案:17.B;18.B |
|
|
| 五、案例分析题:以下提供若干个案例,每个案例下设若干个提问,请根据题干所提供的信息和提示信息,在每题下面备选答案中选出全部正确答案。正确答案可能为一个或多个,根据选项的重要性而得分权重不同,选对正确答案得分,选错答案扣分,直至扣至本问得分为0。(注:案例分析题答题在机考中不可逆,即答完一问后不能返回修改)。 |
| (19-21题共用题干) |
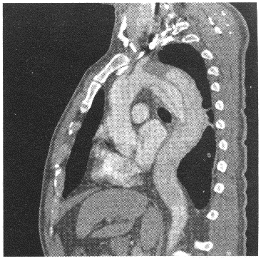
患者,女性,50岁。胸背部疼痛1天余。查体:呼吸音减弱。胸部CT强化如图。![]() |
| 19.CT图片显示的征象包括 |
| 20.最可能的CT诊断是 |
| 21.显示主动脉夹层破口位置的最佳CT后处理方法是 |
| 正确答案:19.CDF;20.B;21.C |