2012年主治医师考试放射医学专业基础知识全真模拟及精解十

发布时间:2012-03-27 共1页

 全真模拟(十)
一、A1型题:题干在前,选项在后。有A、B、C、D、E五个备选答案其中只有一个为最佳答案,其余选项为干扰答案。考生须在5个选项中选出一个最符合题意的答案(最佳答案)。
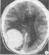
1.(如图所示)征相首先考虑





正确答案:A 解题思路:边缘锐利,明显强化,宽基底相连,考虑脑膜痛。
 
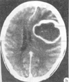
2.(如图所示)首先考虑





正确答案:C 解题思路:环形强化,环内低密度,明显占位效应,考虑脑脓肿。
 
3.支气管造影检查适应症是





正确答案:E 解题思路:支气管造影可根据临床症状和胸片表现确定选用非选择性或选择性支气管造影方法。题中所列均为其适应症。
 
4.男,28岁,乏力2月余,体温高达39℃,平片(如图所示),考虑





正确答案:D 解题思路:左下肺片状影,可见液平面,发热考虑肺脓肿。
 
5.原发综合征的典型表现为





正确答案:D 解题思路:一般将原发灶、淋巴管炎与淋巴结炎之X线表现称为原发综合征。
 
二、B型题:是一组试题(2至4个)公用一组A、B、C、D、E五个备选。选项在前,题干在后。每题只有一个正确答案。每个选项可供选择一次,也可重复选用,也可不被选用。考生只需为每一道题选出一个最佳答案。
(6-8题共用备选答案)
A.腰椎侧凸
B.腰椎椎体骨质破坏,椎间隙变窄
C.腰椎椎弓骨质破坏,椎间隙正常
D.腰椎峡部不连接
E.腰椎椎体呈楔形变,椎间隙正常
6.腰椎骨折
7.腰椎结核
8.腰椎转移瘤

正确答案:6.E,7.B,8.C 解题思路:腰椎常见病病的影像学表现。
 
(9-11题共用备选答案)
A.Garre氏骨髓炎
B.骨样骨瘤
C.尤文氏肉瘤
D.骨干结核
E.非骨化性纤维瘤
9.局部疼痛,由轻微到间歇性,后转为持续性疼痛夜间尤甚,影响睡眠。X线表现胫骨和股骨骨干最为多见,病巢位于骨皮质者,则引起病灶周围广泛性骨皮质增厚,病巢为圆形或卵圆形的透明缺损区,最大直径可达2cm,透明区中央有点状密度增高影。病巢位于松质骨内,病灶周围可有轻微骨增生环
10.局部软组织肿胀疼痛,夜间加重,好发于长骨骨干X线表现为骨膜增生,皮质增厚,髓腔狭窄或闭塞,呈局限或广泛的骨质硬化,与正常骨无明显界限,骨干呈梭形增宽,边缘光滑整齐,无或有极轻微骨破坏,无死骨形成
11.病变好发于四肢长骨干骺端,距骨骺板约3~4cm,偏心性生长呈单房或多囊样,圆形卵圆形透明区病灶长轴和骨干长轴平行,有硬化边缘,无骨膜反应

正确答案:9.B,10.A,11.E
 
三、X型题:由一个题干和A、B、C、D、E五个备选答案组成,题干在前,选项在后。要求考生从五个备选答案中选出二个或二个以上的正确答案,多选、少选、错选均不得分。
12.骨骼肌肉系统的软组织包括





正确答案:ABCDE 解题思路:骨骼肌肉系统的软组织包括肌肉、神经、血管,关节软骨、关节囊。
 
13.结肠癌的X线征象是





正确答案:ABCE 解题思路:肠腔轮廓外"T"字形龛影为溃癌型蛄肠炎的典型表现。
 
14.房间隔缺损在左、右前斜位可见的X线征象有





正确答案:ABCD 解题思路:房间隔缺损左、右前科位时,可见肺动脉段隆起,心前间隙缩小,右心房段延长,左心房不大等征象。
 
15.急性腹痛.呕吐,腹部有肠形及气过水声,作X线检查的主要目的是确定





正确答案:ACD 解题思路:当临床上疑为肠梗阻,而诊断发生困难的情况下,x线检查是确定有无肠梗阻的可靠方法之一。x线检查的目的是:1.有无肠梗阻  2.肠梗阻是机械性还是动力性的  3.若为机械性肠梗阻,有无绞窄4、肠梗阻是完全性还是不完全性,肠梗阻的部位是小肠梗阻还是结肠梗阻。若为小肠梗阻,还要区别是十二指肠梗阻、空肠梗阻或是回肠梗阻5肠梗阻的原因,平片判断有困难时,可行钡剂溜肠或水溶性微造影剂胃肠造影,多能发现梗阻的原因,如粘连,小肠套叠,蛔虫或肠道外的压迫等。
 
16.四肢创伤行影像学检查的目的是





正确答案:ABCDE 解题思路:均是四肢创伤影像学检查的目的。

百分百考试网 考试宝典

立即免费试用