2014年放射医学主治医师考试综合练习题-专业实践能力

发布时间:2014-05-10 共1页

  一、案例分析题:以下提供若干个案例,每个案例下设若干个提问,请根据题干所提供的信息和提示信息,在每题下面备选答案中选出全部正确答案。正确答案可能为一个或多个,根据选项的重要性而得分权重不同,选对正确答案得分,选错答案扣分,直至扣至本问得分为0。(注:案例分析题答题在机考中不可逆,即答完一问后不能返回修改)。
 
  (1-6题共用题干)
  男,14岁,咳嗽,咯铁锈色痰,胸闷,胸痛3人,化验室检查:WBC=1.3×10,ESR=18mm/h。
  1.你认为患者应进行哪些检查
  A.X线平片
  B.CT
  C.MRI
  D.US
  E.ECT
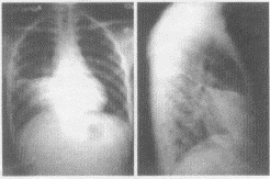
  2.患者行胸片正侧位检查,胸片图像表现如下,你认为该患者应首先考虑哪些疾病
  A.右肺中叶大叶性肺炎
  B.右肺中叶肺癌
  C.右肺中叶支气管扩张
  D.右肺中叶结核
  E.右肺中叶腺瘤
  3.诊断该病的依据有哪些?
  A.患者,14岁,年龄较小
  B.咳嗽,咯铁锈色痰,胸闷,胸痛3天
  C.化验室检查:WBC=1.3×109,ESR=18mm/h
  D.右中下肺野形成一片密度增高的阴影,与右心缘相连,其上缘锐利平直,由此向下逐渐变淡,移行至正常透亮的肺野,肋膈角清晰
  E.侧位片上呈三角形,尖端指向肺门,底部紧接前胸壁或肋膈角,上缘以横裂为界,下缘为斜裂的前半部
  4.多长时间为病变的消散期?
  A.1~2天
  B.3~4天
  C.5~6天
  D.7~10天
  E.10~15天
  5.复查时需要做哪些检查?
  A.X线平片
  B.CT
  C.MRI
  D.DSA
  E.ECT
  6.典型病理变化分期
  A.充血期
  B.红色肝变期
  C.灰色肝变期
  D.模糊期
  E.吸收期
 
  正确答案:1.AB;2.A;3.ABCDE;4.D;5.AB;6.ABC
 

百分百考试网 考试宝典

立即免费试用