2014年放射医学主治医师考试人机对话放射-专业实践能力

发布时间:2014-05-10 共1页

   一、A3型题:以下提供若干个案例,每个案例下设若干道考题。请根据答案所提供的信息,在每一道考题下面的A、B、C、D、E五个备选答案中选择一个最佳答案。
 
  (1-2题共用题干)
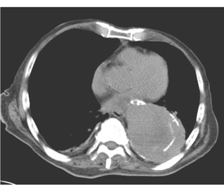
  患者,男,45岁。突感胸骨后疼痛来院就诊。胸部CT平扫图像如下图:
  1.本例应诊断为
  A.胸主动脉瘤
  B.主动脉壁内血肿
  C.胸主动脉夹层
  D.胸主动脉破裂
  E.主动脉炎
  2.若要明确诊断可建议进一步做何检查
  A.X线平片
  B.胸部超声
  C.MSCTA
  D.MRI
  E.放射性核素扫描
 
  正确答案:1.C;2.C
 
  (3-4题共用题干)
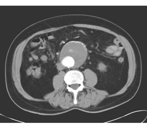
  患者,男,65岁。行腹部CT增强扫描,发现腹主动脉异常,如下图:
  3.本例应诊断为
  A.主动脉夹层动脉瘤
  B.主动脉硬化
  C.主动脉血栓形成
  D.主动脉瘤
  E.主动脉破裂
  4.对该病术前评价和术后随访的最佳方法是
  A.X线平片
  B.DSA
  C.MSCTA
  D.超声
  E.MRI
 
  正确答案:3.D;4.C
 
  二、案例分析题:以下提供若干个案例,每个案例下设若干个提问,请根据题干所提供的信息和提示信息,在每题下面备选答案中选出全部正确答案。正确答案可能为一个或多个,根据选项的重要性而得分权重不同,选对正确答案得分,选错答案扣分,直至扣至本问得分为0。(注:案例分析题答题在机考中不可逆,即答完一问后不能返回修改)。
 
  (5-9题共用题干)
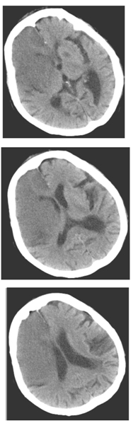
  女性,70岁,昏迷,大小便失禁12小时。查体:血压200/110mmHg,心率约120次/分,体温37℃。浅昏迷,左侧肢体未见自主活动,肌力增高,Babinski征阳性。既往高血压病史。
  5.应该首先做何种检查
  A.X线片
  B.ECT
  C.DSA
  D.MRI
  E.CT
  F.US
  6.患者检查图像如下,应考虑何种疾病
  A.脑膜炎
  B.星性细胞瘤
  C.脑出血
  D.脑动静脉畸形
  E.脑梗塞
  F.脑脓肿
  7.诊断依据是哪些
  A.昏迷,大小便失禁12小时
  B.CT显示右侧大脑额、颞叶大片状均匀低密度灶
  C.既往高血压病史
  D.右侧侧脑室受压
  E.大脑镰钙化
  F.左侧基底节区低密度灶
  8.大面积脑梗塞的典型表现包括
  A.梗塞区域与该区动脉供血区域一致,呈扇形或楔形,同时累及灰质和白质
  B.梗塞发生6h后,可见大脑中动脉水平段条形高密度影,外囊与岛叶皮层界限模糊
  C.梗塞区脑沟变浅
  D.6~24小时部分病灶出现低密度
  E.大部分病例24h之后才出现典型的低密度改变
  F.增强后病变明显强化
  9.常见的脑梗塞影像学分型包括
  A.腔隙性脑梗塞
  B.缺血性脑梗塞
  C.出血性脑梗塞
  D.分水岭梗塞
  E.颅内静脉及静脉窦血栓形成
  F.脑软化灶
 
  正确答案:5.E;6.E;7.ABCD;8.ABCDE;9.ABCDE
 

百分百考试网 考试宝典

立即免费试用