2014年放射医学主治医师考试全真模拟基础知识-模拟试题一

发布时间:2014-05-10 共1页

  一、A1型题:题干在前,选项在后。有A、B、C、D、E五个备选答案其中只有一个为最佳答案,其余选项为干扰答案。考生须在5个选项中选出一个最符合题意的答案(最佳答案)。
 
  1.下列哪些参数不属于HRCT扫描参数
  A.高电压(大于120kV)
  B.大矩阵(大于512×512)
  C.骨算法
  D.大螺距
  E.薄准直
 
  正确答案:D解题思路:高分辨力扫描的具体条件是应有高mAs、薄层厚(1~2mm)、大矩阵(≥512×512)及骨算法重建。
 
  2.箭头所指的解剖结构是
  A.左下肺动脉
  B.左下肺静脉
  C.左心房
  D.左支气管动脉
  E.半奇静脉
 
  正确答案:B解题思路:食管与胸主动脉的前方有左心房及左、右下肺静脉。左心房的右前方有右心房及房间隔,左心房的左前方有左心室和左房室口及二尖瓣,左心室内有肉柱、乳头肌、腱索等。右心房的左前方有右心室,右心室内有肉柱、乳头肌、腱索等。
 
  3.下列哪一项属于阴性对比剂
  A.空气
  B.食用油与水的混合体
  C.含碘对比剂与水的混合物
  D.牛奶
  E.纯水
 
  正确答案:A解题思路:阴性对比剂是指密度低、吸收X线少、原子序数低、比重小的物质。
 
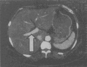
  4.箭头所指的解剖结构是
  A.脾静脉
  B.脾动脉
  C.肠系膜下动脉
  D.肠系膜上动脉
  E.肠系膜上静脉
 
  正确答案:E解题思路:门静脉系统由肠系膜上静脉和脾静脉汇合而成,门静脉是肝的功能血管,收集了消化道、脾、胰、胆囊的血液,携带丰富的营养物质输送入肝脏,除作为肝本身的代谢能原外,还合成新的物质,供给全身组织的需要;其起止端均为毛细血管,起始于胃、肠、胰、脾的毛细血管网,终端为肝血窦状隙。且门静脉主干及较大的属支均无瓣膜结构;门静脉与腔静脉之间存在较多的交通支,在门静脉高压时,为了使淤滞在门静脉系统的血液回流,这些交通支大量开放,而建立侧支循环。
 
  5.箭头所指的解剖结构是
  A.门静脉主干
  B.门静脉左支
  C.门静脉右支
  D.肝右静脉
  E.肝中静脉
 
  正确答案:C解题思路:门静脉由肠系膜下静脉、脾静脉、肠系膜上静脉汇合而成、回收来自腹腔脏器的血液。门静脉斜向右上行,进入肝十二指肠韧带的游离缘内,居于胆总管和肝固有动脉的后方,上行至第一肝门,分为左、右二支入肝,在肝内反复分支,最后形成小叶间静脉,与肝动脉的分支小叶间动脉共同汇入肝血窦。
 
  二、B型题:是一组试题(2至4个)公用一组A、B、C、D、E五个备选。选项在前,题干在后。每题只有一个正确答案。每个选项可供选择一次,也可重复选用,也可不被选用。考生只需为每一道题选出一个最佳答案。
 
  (6-10题共用备选答案)
  A.平扫
  B.增强扫描
  C.灌注扫描
  D.高分辨率扫描
  E.薄层扫描
  6.头颅外伤
  7.内耳病变
  8.冠状动脉狭窄
  9.肝脏肿瘤
  10.支气管扩张
 
  正确答案:6.A,7.D,8.C,9.B,10.D解题思路:2.颞骨应当用HRCT模式扫描观察颞骨的细微结构,如显示颞骨岩部内半规管耳蜗,听小骨等结构。
 
  (11-14题共用备选答案)
  A.直接转换
  B.间接转换
  C.光电转换
  D.电光转换
  E.闪烁晶体
  11.非晶硒平板
  12.非晶硅平板
  13.CCD
  14.CSI
 
  正确答案:11.A,12.B,13.C,14.E
 

百分百考试网 考试宝典

立即免费试用